仁心解沉疴,万医多学科协作助七旬老人卸下多年“重负”,享受健康人生!
“这个疾病困扰了我多年,始终未能彻底治愈。衷心感谢万山区人民医院各个学科专家的精湛医术,让我能够摆脱多年来的困扰,提升我的晚年生活质量。”患者满怀感激地说道。

近日,万山区人民医院成功为一位75岁的老年患者解决困扰多年的顽疾。据悉,杨爷爷因患右侧复杂性肾结石多年,引发尿路感染及肾功能损害,生活质量明显下降。曾辗转多家医院就诊,都由于“年龄太大、基础疾病多、结石复杂、手术风险高”屡屡行保守治疗。今年因“肾结石及梗阻”引起患肾自发性破裂出血、尿源性脓毒血症、脓毒性休克,特意从邻县来到万山区人民医院就诊。


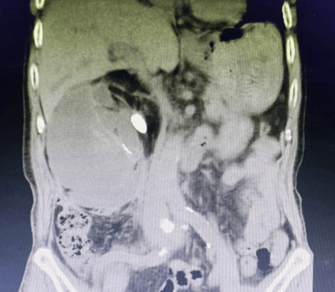
入院时CT片
经初步检查发现杨爷爷肾结石多发且引起右肾重度积水并出血,肾功能严重损害,合并有胸腔大量积液、心脏病、贫血等基础疾病,麻醉和手术风险极高。患者希望“既要治病,又要保肾。”为帮助杨爷爷解除多年疾病困扰,泌尿外科学科带头人罗洪星带领专家团队联合麻醉科、呼吸内科、ICU、心内科等多学科专家经过反复讨论和分析,结合患者诉求,最终为杨爷爷制定了个性化治疗方案。


术中,麻醉科精准调控,手术团队先在局部麻醉下为杨爷爷进行经皮右肾穿刺造瘘、结石碎石取石、输尿管支架置入术,手术过程中出血极少,局部麻醉+微创的优势能够较好地建立耐受,解除杨爷爷右肾结石引起的尿路梗阻,尿路感染得到很好控制后。再二期全麻下行“经皮右肾+经尿道输尿管软镜双镜联合碎石取石”。术后,杨爷爷恢复良好,胸腔积液吸收,低蛋白血症、贫血也得到纠正,尿路梗阻及肾功能得到了很好的恢复。

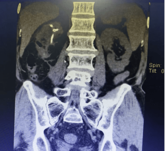
术后复查CT
专家简介

罗洪星
泌尿外科学科带头人
主任医师
教授
罗洪星,主任医师、教授,曾任铜仁市人民医院泌尿外科主任、学科带头人、外科教研主任、住培基地泌尿外科专业基地负责人;首批市管专家、贵州省医学会泌尿外科学分会常委,贵州省男科分会委员、铜仁市医学会泌尿外科学分会名誉主任委员,在本省率先开展了前列腺剜除术、腹腔镜下肾蒂淋巴管结扎术,在本市率先开展了二十多项新技术,公开发表论文三十多篇,主持并获市级以上科技进步奖8项。从事泌尿外科临床工作36年多,熟悉泌尿外科及男科疾病的诊治,手术经验丰富、擅长泌尿系肿瘤、泌尿结石、前列腺增生症等泌尿系疾病的腔镜微创手术。
坐诊时间: 每周一、周三
上午08:00—12:00
下午14:00—17:00
坐诊地点:铜仁市万山区人民医院C区门诊大楼三楼C301泌尿外科诊室

刘俊
泌尿外科主任
主任医师
刘俊,中共党员,泌尿外科主任,主任医师,铜仁市泌尿外科分会常务委员、铜仁市泌尿外科质量控制中心委员、铜仁市医学会医疗事故鉴定委员会专家委员、铜仁市劳动能力鉴定委员会专家委员、铜仁市高级职称评审委员会专家委员、铜仁市万山区区管专家。擅长泌尿腔镜,熟练掌握腹腔镜技术,在微创治疗泌尿系结石、前列腺增生、泌尿系肿瘤等泌尿外科疾病方面具有丰富的临床经验。
坐诊时间: 每周四
上午08:00—12:00
下午14:00—17:00
坐诊地点:铜仁市万山区人民医院C区门诊大楼三楼C301泌尿外科诊室

张灵
泌尿外科副主任
主治医师
张灵,中共党员,泌尿外科副主任,主治医师,本科学历,从事临床工作10余年,曾于贵州省人民医院学习,对泌尿外科常见病、多发病有较强的临床诊疗能力。在市级学术年会发表论文1篇,参与市级科研项目一项。
坐诊时间: 每周五
上午08:00—12:00
下午14:00—17:00
坐诊地点:铜仁市万山区人民医院C区门诊大楼三楼C301泌尿外科诊室
泌尿外科
铜仁市万山区人民医院泌尿外科于2017年独立成科,现为市级重点专科,专家队伍雄厚,专科设备先进。科室目前共有医护人员22人,其中主任医师2人,主治医师3人,住院医师5人,其中市管专家1人,区管专家1人。副主任护师1人,主管护师2人,护师7人,护士2人。
先进的设备:STOZ、奥林巴斯、狼牌腹腔镜,科医人、瑞柯恩钬激光,电子输尿管软镜,狼牌输尿管镜、肾镜、等离子电切镜,气压弹道碎石系统,体外冲击波碎石机,排石床、结石成分分析仪等先进设备。
开展的诊疗项目有:膀胱癌根治术,前列腺癌根治术,肾癌根治术,肾盂癌根治术,睾丸癌根治术,阴茎癌根治术,肾上腺肿瘤切除术,肾肿瘤切除及肾部分切除术,无功能肾切除术,输尿管整形重建术,前列腺等离子、激光剜除术,膀胱肿瘤等离子、激光剜除术,前列腺穿刺、前列腺癌内分泌治疗,输尿管软镜、肾镜、输尿管镜、膀胱镜下微创治疗肾、输尿管、膀胱、尿道结石,软镜下肾盂旁囊肿内切开术,肾蒂淋巴管结扎术,肾囊肿去顶术,精索静脉曲张高位结扎术、隐睾下降固定术,隐匿性阴茎成型术,尿道下裂成型术,睾丸鞘膜翻转术,包皮环切术等。
咨询电话:13385564734
咨询地址:外科大楼10楼
供稿:泌尿外科
