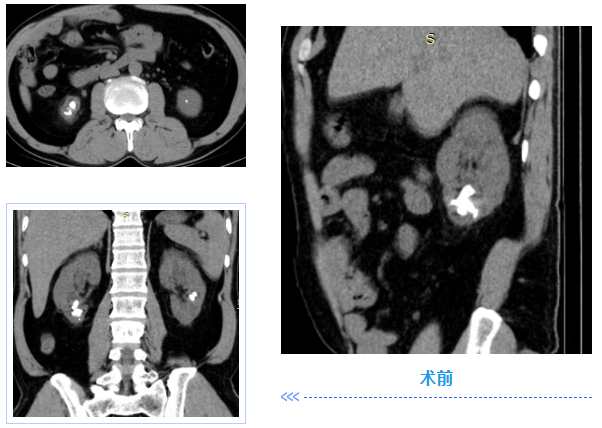
近日,铜仁市万山区人民医院泌尿外科成功为一名肾脏下极复杂多发结石的患者实施了“腹腔镜下肾下极切除术(肾部分切除术)”。

据悉,该患者因结石“盘踞”肾下极,长期受泌尿系结石困扰,辗转多家医院求治,却一直未得到有效治疗,严重影响到生活质量。

“肾下极因解剖位置特殊,是结石高发且难以自然排出的区域。长期梗阻、炎症会导致肾盏颈狭窄、肾局部积水等情况,采用常规的碎石取石术难以从根本上清除结石,且易复发。”泌尿外科主任刘俊介绍道。
面对患者的复杂病情,泌尿外科学科银龄专家罗洪星及刘俊带领团队对患者情况进行充分的术前讨论。考虑到患者肾下极结石集中,对应肾实质已出现萎缩,且肾盏颈存在。结合患者诉求,最终确定采取“腹腔镜下肾下极(即肾部分)切除术”的手术方案。

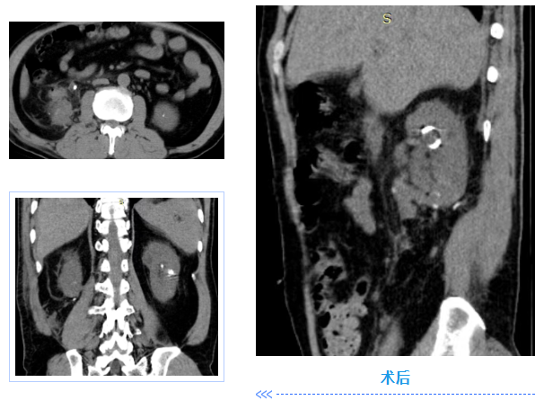
由于肾下极位置特殊,手术不仅要求医生在腔镜下具备精准的判断与定位能力,还需掌握娴熟的病灶切除及组织缝合技术。在泌尿外科与麻醉科的通力协作下,顺利切除了包含结石的肾下部。术后患者恢复良好。

“此次手术是医院腹腔镜技术水平的重要体现,手术难度极大,十分考验医生的专业技术——肾下极切除术需要在肾血流阻断后的极短时间内完成病灶切除与肾盏、肾实质的缝合。手术顺利完成,既依托于科室成熟的专业技术,更是医院团队协作的成果。”罗洪星术后表示。
此次手术的成功开展,标志着医院泌尿外科在微创技术及复杂结石综合治疗领域迈上了新的台阶。未来,泌尿外科将不断精进科室专业技术,以更精湛的医术、更优质的服务,守护人民群众健康。
专家简介

罗洪星,主任医师、教授,知名专家,曾任铜仁市人民医院泌尿外科主任、学科带头人;首批市管专家、贵州省医学会泌尿外科学分会常委,贵州省男科分会委员、铜仁市医学会泌尿外科学分会名誉主任委员,在本省率先开展了前列腺剜除术、腹腔镜下肾蒂淋巴管结扎术,在本市率先开展了二十多项新技术,公开发表论文三十多篇,主持并获市级以上科技进步奖8项。从事泌尿外科临床工作38年多,熟悉泌尿外科及男科疾病的诊治,手术经验丰富、擅长泌尿系肿瘤、泌尿结石、前列腺增生症等泌尿系疾病的腔镜微创手术。
坐诊时间: 每周一、周三
上午08:00—12:00
下午14:00—17:00
坐诊地点:铜仁市万山区人民医院门诊大楼三楼C301泌尿外科诊室

刘俊,中共党员,泌尿外科主任,主任医师,铜仁市泌尿外科分会常务委员、铜仁市泌尿外科质量控制中心委员、铜仁市医学会医疗事故鉴定委员会专家委员、铜仁市劳动能力鉴定委员会专家委员、铜仁市高级职称评审委员会专家委员、铜仁市万山区区管专家。擅长泌尿腔镜,熟练掌握腹腔镜技术,在微创治疗泌尿系结石、前列腺增生、泌尿系肿瘤等泌尿外科疾病方面具有丰富的临床经验。
坐诊时间: 每周四
上午08:00—12:00
下午14:00—17:00
坐诊地点:铜仁市万山区人民医院门诊大楼三楼C301泌尿外科诊室

张灵
泌尿外科副主任
主治医师
张灵,中共党员,主治医师,泌尿外科副主任。铜仁市泌尿外科分会委员、铜仁市万山区泌尿外科分会副主任委员,多次参加泌尿外科省内外及市级学术会议,参与市级课题一项。曾于贵州省人民医院泌尿外科、贵州医科大学附属肿瘤医院泌尿外科进修学习。熟练掌握泌尿外科常见病、多发病的诊断和治疗。擅长体外冲击波碎石、输尿管软/硬镜微创碎石取石术、前列腺穿刺活检术等泌尿外科常规手术。在泌尿系肿瘤方面也有一定的研究。
泌尿外科
铜仁市万山区人民医院泌尿外科于2017年独立成科,现为市级重点专科,专家队伍雄厚,专科设备先进。科室目前共有医护人员22人,其中主任医师2人,主治医师3人,住院医师5人,其中市管专家1人,区管专家1人。副主任护师1人,主管护师2人,护师7人,护士2人。
先进的设备:STOZ、奥林巴斯、狼牌腹腔镜,科医人、瑞柯恩钬激光,电子输尿管软镜,狼牌输尿管镜、肾镜、等离子电切镜,气压弹道碎石系统,体外冲击波碎石机,排石床、结石成分分析仪等先进设备。
开展的诊疗项目有:膀胱癌根治术,前列腺癌根治术,肾癌根治术,肾盂癌根治术,睾丸癌根治术,阴茎癌根治术,肾上腺肿瘤切除术,肾肿瘤切除及肾部分切除术,无功能肾切除术,输尿管整形重建术,前列腺等离子、激光剜除术,膀胱肿瘤等离子、激光剜除术,前列腺穿刺、前列腺癌内分泌治疗,输尿管软镜、肾镜、输尿管镜、膀胱镜下微创治疗肾、输尿管、膀胱、尿道结石,软镜下肾盂旁囊肿内切开术,肾蒂淋巴管结扎术,肾囊肿去顶术,精索静脉曲张高位结扎术、隐睾下降固定术,隐匿性阴茎成型术,尿道下裂成型术,睾丸鞘膜翻转术,包皮环切术等。
咨询电话:13385564734
咨询地址:外科大楼10楼