近日,铜仁市万山区人民医院泌尿外科成功为两名复杂性肾脏结石患者实施一体位经皮肾镜联合输尿管软镜碎石取石术。该手术的顺利开展,标志着泌尿外科在泌尿系结石微创治疗领域的技术水平再上新台阶。

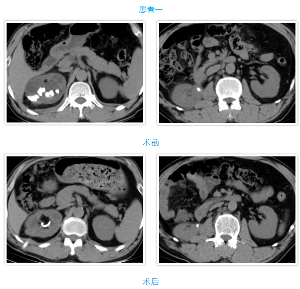
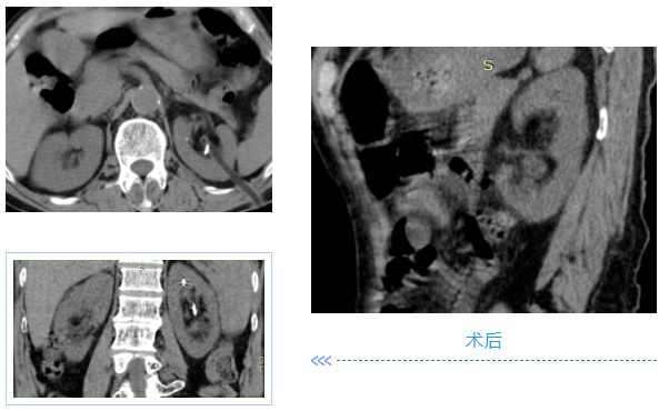
两名患者均为中年男性,入院检查发现肾内多发铸型结石,结石体积大、分布广,其中一例既往患肾行开放取石及经皮肾取石手术,盏颈狭窄伴有肾积水;另一例无明显积水,净石难度高。传统开放手术创伤大、恢复慢,单一微创技术难以彻底清除结石。针对患者病情,泌尿外科团队高度重视,多次组织病例讨论,结合患者身体状况与手术耐受度,最终制定“经皮肾镜+输尿管软镜”联合微创治疗方案。

在泌尿外科团队及麻醉科团队成员密切配合。患者取斜仰截石位,先通过输尿管软镜探查输尿管及肾盂肾盏情况,精准定位结石;随后在超声引导下建立经皮肾通道,置入经皮肾镜,利用钬激光碎石设备将复杂结石击碎成细小颗粒,部分结石因角度问题经皮肾镜无法够到,则通过软镜配合取石篮将结石拖入经皮肾通道口进行彻底清除。整个手术过程创伤小、出血少,术后患者恢复顺利,未出现相关并发症,现已康复出院。


此次复杂肾结石手术的成功实施,充分展现了泌尿外科扎实的专业功底与高效的协作能力。作为市级重点专科,泌尿外科始终秉持“以患者为中心”的服务理念,持续引进并应用先进的微创诊疗技术。未来,泌尿外科将进一步提升疑难重症诊疗能力,深耕技术创新,为泌尿系疾病患者的健康保驾护航,为广大泌尿系疾病患者解决病痛,助力医院高质量发展。
专家简介

罗洪星,主任医师、教授,知名专家,曾任铜仁市人民医院泌尿外科主任、学科带头人;首批市管专家、贵州省医学会泌尿外科学分会常委,贵州省男科分会委员、铜仁市医学会泌尿外科学分会名誉主任委员,在本省率先开展了前列腺剜除术、腹腔镜下肾蒂淋巴管结扎术,在本市率先开展了二十多项新技术,公开发表论文三十多篇,主持并获市级以上科技进步奖8项。从事泌尿外科临床工作38年多,熟悉泌尿外科及男科疾病的诊治,手术经验丰富、擅长泌尿系肿瘤、泌尿结石、前列腺增生症等泌尿系疾病的腔镜微创手术。
坐诊时间: 每周一、周三
上午08:00—12:00
下午14:00—17:00
坐诊地点:铜仁市万山区人民医院
门诊大楼三楼C301泌尿外科诊室

刘俊
刘俊,中共党员,泌尿外科主任,主任医师,铜仁市泌尿外科分会常务委员、铜仁市泌尿外科质量控制中心委员、铜仁市医学会医疗事故鉴定委员会专家委员、铜仁市劳动能力鉴定委员会专家委员、铜仁市高级职称评审委员会专家委员、铜仁市万山区区管专家。擅长泌尿腔镜,熟练掌握腹腔镜技术,在微创治疗泌尿系结石、前列腺增生、泌尿系肿瘤等泌尿外科疾病方面具有丰富的临床经验。
坐诊时间: 每周四
上午08:00—12:00
下午14:00—17:00
坐诊地点:铜仁市万山区人民医院
门诊大楼三楼C301泌尿外科诊室

张灵
张灵,中共党员,主治医师,泌尿外科副主任,铜仁市泌尿外科分会委员、铜仁市万山区泌尿外科分会副主任委员,多次参加泌尿外科省内外及市级学术会议,参与市级课题一项。曾于贵州省人民医院泌尿外科、贵州医科大学附属肿瘤医院泌尿外科进修学习。熟练掌握泌尿外科常见病、多发病的诊断和治疗。擅长体外冲击波碎石、输尿管软/硬镜微创碎石取石术、前列腺穿刺活检术等泌尿外科常规手术。在泌尿系肿瘤方面也有一定的研究。
泌尿外科
铜仁市万山区人民医院泌尿外科于2017年独立成科,现为市级重点专科,专家队伍雄厚,专科设备先进。科室目前共有医护人员22人,其中主任医师2人,主治医师3人,住院医师5人,其中市管专家1人,区管专家1人。副主任护师1人,主管护师2人,护师7人,护士2人。
先进的设备:STOZ、奥林巴斯、狼牌腹腔镜,科医人、瑞柯恩钬激光,电子输尿管软镜,狼牌输尿管镜、肾镜、等离子电切镜,气压弹道碎石系统,体外冲击波碎石机,排石床、结石成分分析仪等先进设备。
开展的诊疗项目有:膀胱癌根治术,前列腺癌根治术,肾癌根治术,肾盂癌根治术,睾丸癌根治术,阴茎癌根治术,肾上腺肿瘤切除术,肾肿瘤切除及肾部分切除术,无功能肾切除术,输尿管整形重建术,前列腺等离子、激光剜除术,膀胱肿瘤等离子、激光剜除术,前列腺穿刺、前列腺癌内分泌治疗,输尿管软镜、肾镜、输尿管镜、膀胱镜下微创治疗肾、输尿管、膀胱、尿道结石,软镜下肾盂旁囊肿内切开术,肾蒂淋巴管结扎术,肾囊肿去顶术,精索静脉曲张高位结扎术、隐睾下降固定术,隐匿性阴茎成型术,尿道下裂成型术,睾丸鞘膜翻转术,包皮环切术等。
咨询电话:13385564734
咨询地址:外科大楼10楼
供稿:泌尿外科